Rare Lung Condition Emerges in Toddler After Adenovirus Infection
Swyer-James-Macleod Syndrome Diagnosed Following Persistent Respiratory Distress
A puzzling lung condition, Swyer-James-Macleod Syndrome (SJMS), has been identified in a 23-month-old girl following an adenovirus infection. The rare disorder, characterized by lung hyperlucency, emerged after an initial bout of bronchiolitis led to significant respiratory distress.
Initial Illness and Worsening Symptoms
The young patient initially presented with a three-day history of cough, runny nose, and increased breathing effort. Treated at an urgent care center for bronchiolitis with a confirmed adenovirus diagnosis, her condition deteriorated. She required nasal cannula oxygen and experienced worsening hypoxemia, necessitating a higher oxygen flow.
A subsequent chest X-ray revealed opacities in the right middle and lower lung lobes. While she initially improved with supportive care and hospital discharge, her breathing issues returned.
Recurrent Wheezing and Diagnostic Imaging
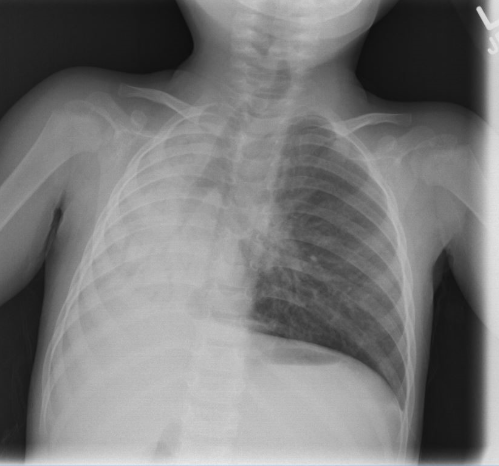
Nine months later, recurrent wheezing prompted a referral to pulmonary specialists. A follow-up chest X-ray three months after the initial infection showed alarming changes: complete opacification of the right hemithorax, a mediastinal shift to the right, and collapse of the right upper and middle lobes.

On examination, the patient showed mild respiratory distress, with diminished breath sounds on the left and crackles in the right lower lung fields. Blood work and metabolic panels were within normal limits.
Confirming Swyer-James-Macleod Syndrome
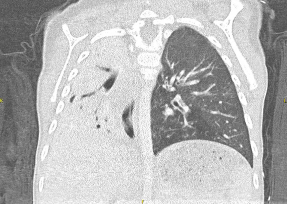
Further imaging, including a chest CT scan, confirmed the diagnosis of Swyer-James-Macleod Syndrome. The CT revealed unilateral hyperlucency of the left lung, extensive opacification of the right hemithorax, and atelectasis of the right upper and middle lobes with superimposed bronchiectasis.

SJMS is a post-infectious condition, typically following a viral or bacterial infection in early childhood. It leads to bronchial narrowing, reduced airflow, and decreased blood flow to parts of the lung, resulting in characteristic imaging findings.
The rarity of SJMS means its incidence is not well-documented. While adults are often asymptomatic, children frequently experience symptoms like wheezing and recurrent infections, as seen in this case.
Management and Prognosis
Management strategies for SJMS focus on preventing further infections. This includes chest physiotherapy, vaccinations, and antibiotics for exacerbations. Inhaled corticosteroids and bronchodilators are also being explored for their potential benefits.
A follow-up chest X-ray fifteen months after her initial presentation continues to show hyperlucency of the left lung. This case underscores the importance of recognizing SJMS as a potential complication of early childhood respiratory infections, allowing for timely intervention to mitigate long-term lung damage.
The prevalence of rare lung diseases in children is a growing concern. For instance, conditions like cystic fibrosis, while more common than SJMS, also require vigilant management and early diagnosis to improve patient outcomes. A 2022 report indicated that improved diagnostic tools have led to a better understanding and management of pediatric respiratory conditions American Lung Association.